
矯正歯科コラム
矯正治療前には欠かせない資料取り。その内容と重要性とは?
さて今回は矯正の資料取りについてです。
矯正治療を始めるにあたり 今の歯並びの状態を
詳しく知る必要があります。
その為にいくつかのデータが必要になります。
① 写真
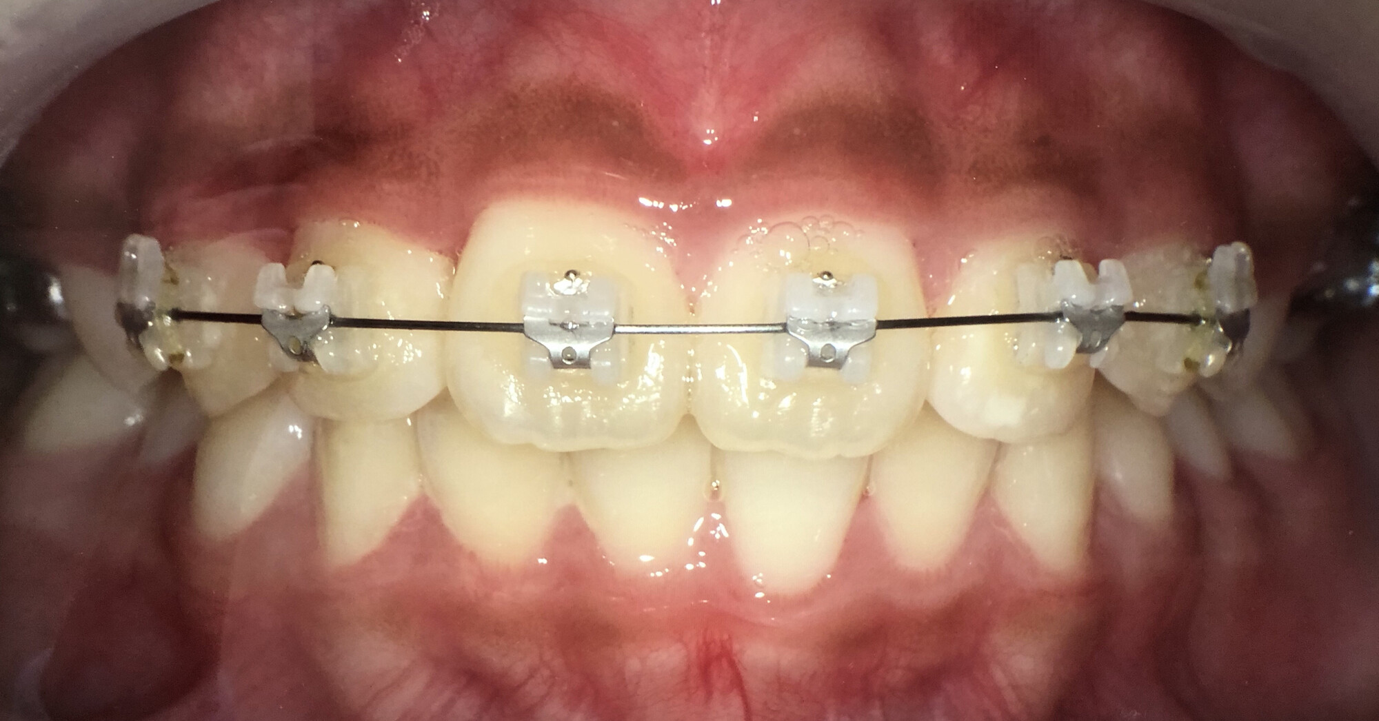
・口の中
現在のお口の中の状態 かみ合わせ
の状態などを見ます。
・顔
顔を正面 真横 斜め横から撮影します
口元の出具合などを見ます
②レントゲン
・パノラマエックス線
全体の歯や根っこの状態 歯ぐきの中
の骨の状態などを見ます。
・ セファロレントゲン
顔の骨格を見ます。
顎の大きさ 形 歯の傾斜 口元の
バランスなどを分析します。
・CT
三次元的に歯や骨を見ることができます
親知らずがある場合や歯が骨の中に埋まっている
場合などに撮影することがあります。
③歯全体のスキャン
アイテロという光学スキャナーを用いて現在の歯並びを読み取ります。
3Dで歯並びを再現できるので
そのデータを使って 歯並びのシミュ
レーションや細かな分析が出来ます。
1番優れているのは、矯正前と矯正後の歯がどれだけ動くのかが0.1mm単位で分かることです。
これによりかなり精密な矯正治療計画を立てることができます
これらの資料を元に抜歯した方がいいのか、どれくらい歯を動かせばいいのか診査診断を行います。
子供さんの矯正はもちろんのこと
40代50代の方で矯正をご希望される患者様もいらっしゃいます
実際自分の歯並びの状態はどうなのか ちょっと聞いてみたいな
と思われている方もいらっしゃると思います。
このような 具体的な資料があれば
より詳しく患者様にあった矯正の治療計画のご提案ができます。
話を聞いて やっぱり矯正やめとこうと
決められても 全然いいと思います。
お気軽にご相談ください














